ΚΡΗΤΗ

Κρήτη: Γιατροί έσωσαν 4χρονο που κατάπιε κέρμα

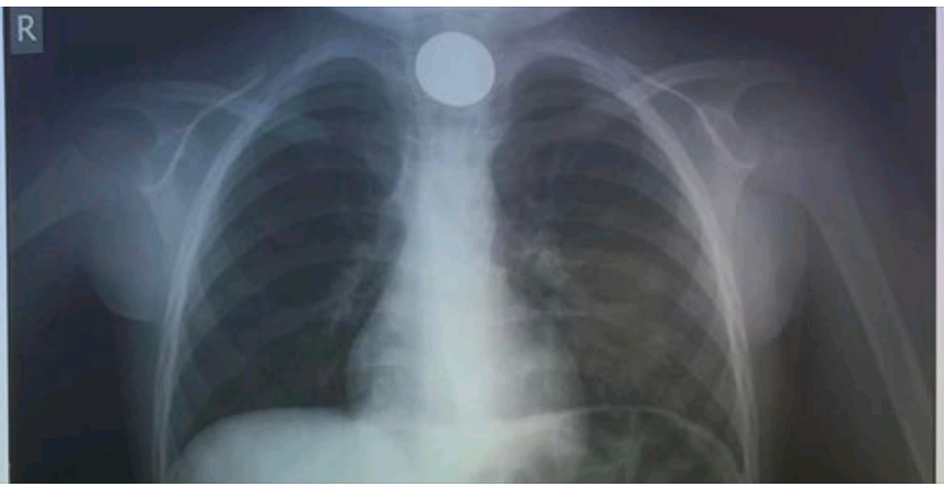
Περιπέτεια για οικογένεια, παραμονή Πρωτοχρονιάς, καθώς ένα 4χρονο παιδάκι κατάπιε κέρμα, με συνέπεια να μην μπορεί να αναπνεύσει.

Άμεσα μεταφέρθηκε στο νοσοκομείο, όπου οι γιατροί προχώρησαν και αφαίρεσή του.

Το συμβάν γνωστοποιήθηκε από την ΩΡΛ κλινική του νοσοκομείου μέσω ανάρτησης στα social media.

 



ΡΟΗ ΕΙΔΗΣΕΩΝ