Η αρθρίτιδα είναι η φθορά και ρήξη του χόνδρου μιας άρθρωσης. Η φυσιολογική λεία επιφάνεια του αρθρικού χόνδρου γίνεται τραχιά, χάνει τις προστατευτικές της ιδιότητες και σε προχωρημένα στάδια εκτίθεται το υποκείμενο οστό. Η άρθρωση του γόνατος είναι μεταξύ των μηριαίου οστού από πάνω, της κνήμης από κάτω και της επιγονατίδας μπροστά και της τροχιλίας από πίσω.
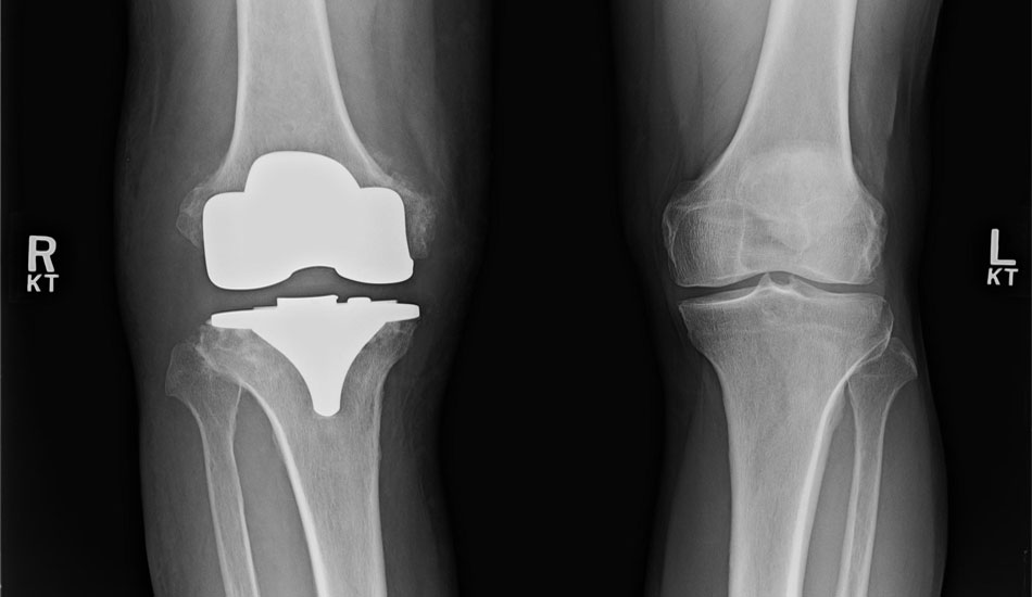
Η ολική αρθροπλαστική (αντικατάσταση) του γόνατος περιλαμβάνει την αφαίρεση λεπτού στρώματος της αρθριτικής (φθαρμένης) αρθρικής επιφάνειας του μηριαίου και της κνήμης και την αντικατάστασή του με μέταλλο το οποίο καθηλώνεται στη θέση του με ειδικό οστικό τσιμέντο. Μεταξύ των δύο μεταλλικών επιφανειών τοποθετείται ένα πλαστικό ένθετο (πολυαιθυλένιο).
Ασθενείς που θα ωφεληθούν από μια ολική αρθροπλαστική γόνατος είναι αυτοί που έχουνε σοβαρή και εκτεταμένη αρθρίτιδα στο γόνατο που τους προκαλεί πόνο στο περπάτημα, στις σκάλες ακόμα και όταν κοιμούνται τη νύχτα και περιορίζει τις καθημερινές δραστηριότητες.
Η ολική αρθροπλαστική γόνατος έχει εξαιρετικά αποτελέσματα του και είναι η πιο συχνή αντικατάσταση μιας άρθρωσης στο σώμα. 90% των ασθενών που υποβάλλονται σε ολική αρθροπλαστική γόνατος αναφέρουν άριστα αποτελέσματα με σημαντική βελτίωση στη λειτουργία και απώλεια πόνου. 95% των ολικών αρθροπλαστικών γόνατος λειτουργούν καλά μετά από 10 χρόνια και 80-85% εξακολουθούν να λειτουργούν καλά μετά από 20 χρόνια.
Μπορείτε να ενημερωθείτε περισσότερο για την ολική αρθροπλαστική γόνατος, την διαγνωστική διερεύνηση, ενδείξεις, προσδοκίες, κίνδυνοι και επιπλοκές, και πως μπορούν να ελαχιστοποιηθούν οι πιθανοί κίνδυνοι στο παρακάτω link.
Ολική αρθροπλαστική γόνατος
https://www.theodorideskneesurgeon.gr/oliki-arthroplastiki-gonatos
Μόνοδιαμερισματική αρθροπλαστική γόνατος
https://www.theodorideskneesurgeon.gr/arthroplastiki-gonatos-monodiamerismatiki
Αρθροπλαστική της Επιγονατιδομηριαίας Άρθρωσης
https://www.theodorideskneesurgeon.gr/arthroplastiki-epigonatidomiriaias-arthrosis
Αρθρίτιδα του Γόνατος
https://www.theodorideskneesurgeon.gr/arthritida-osteoarthritida-gonatos
Διαταραχές ευθυγράμμισης κάτω άκρου
https://www.theodorideskneesurgeon.gr/diataraches-efthygrammisis-kato-akron
Οστεοτομίες γύρο από το γόνατο
https://www.theodorideskneesurgeon.gr/osteotomia-efthygrammisis-gonatos
Ποιος είναι ο Αντώνης Θεοδωρίδης
Ο Αντώνης Α Θεοδωρίδης MBBS, BSc, MRCS, MSc, CCT(UK), FRCS(Tr&Orth) είναι Διευθυντής Ορθοπαιδικός Χειρουργός και Τραυματολόγος, ειδικευθείς και μετεκπαιδευθείς στα γόνατα και στις αθλητικές κακώσεις σε διεθνούς φήμης Πανεπιστημιακά Νοσοκομεία στο Ηνωμένο Βασίλειο, όπου έζησε για 30+ χρόνια. Γεννήθηκε και σπούδασε στο Λονδίνο, αλλά αποφάσισε να γυρίσει στην πατρίδα του για να προσφέρει τις υπηρεσίες.
‘Εχει αποκτήσει μεγάλη εμπειρία στο Εθνικό Σύστημα Υγείας του Ηνωμένου Βασιλείου (NHS), όπου εργάστηκε για 17 χρόνια και διαθέτει πιστοποιημένο logboook άνω των 6000 εγχειρήσεων. Τώρα εργάζεται στο Ιατρικό Κέντρο Αθηνών και επισκέπτεται το American Medical Centre στη Λευκωσία.
Αποφοίτησε από την επίλεκτη Ιατρική Σχολή Imperial College, London, και είναι μέλος του Βασιλικού Κολλεγίου της Μεγάλης Βρετανίας (FRCS). Έκανε 3 χρόνια υπερεξειδίκευση στα γόνατα και αποπεράτωσε 5 Senior Knee Fellowships σε διακεκριμένα Πανεπιστημιακά Νοσοκομεία NHS σε Λονδίνο, Coventry, Bristol, Leeds, και Southampton, δουλεύοντας δίπλα σε πρωτοπόρους στον τομέα, οι οποίοι καθοδηγούν την παγκόσμια ορθοπαιδική κοινότητα για τις καλύτερες χειρουργικές και συντηρητικές θεραπείες και βλέπουν διάσημους πρωταθλητές από όλα τα αθλήματα, συμπεριλαμβανομένων και κορυφαίων ομάδων ποδοσφαίρου της Premiership και Rugby.
Απέκτησε μεγάλη εμπειρία στις αθλητικές κακώσεις, στην πρόληψη τραυματισμών στα γόνατα και κάτω άκρα, στην ανακατασκευή και αναθεώρηση των συνδέσμων, όπως ο πρόσθιος χιαστός, εξωαρθρική τενόδεση (που μειώνει το ρίσκο ρήξης του χιαστού κατά 40%), στη συρραφή και μεταμοσχεύσεις μηνίσκων, την αποκατάσταση χόνδρινων βλαβών, πρόσθια γοναλγία, αστάθεια επιγονατίδας, τροχιλιοπλαστική, οστεοτομίες γύρο από το γόνατο, αρθροπλαστική γόνατος, και βλαστοκύταρα, χρησιμοποιώντας καινοτόμες τεχνικές που συμβάλλουν στην σύντομη αποθεραπεία του ασθενούς. Η υπερεξειδίκευση στην αρθροπλαστική γόνατος (ολική, μονοδιαμερισματική, επιγονατιδομηριαιάς, και αναθεώρηση) αποκτήθηκε σε πολυάριθμα τριτοβάθμια εξειδικευμένα κέντρα στο Ηνωμένο Βασίλειο.
Προσπαθεί να είναι πάντοτε ενημερωμένος σχετικά με την πρόοδο της χειρουργικής του γόνατος, πιστεύει ακράδαντα στη συντηρητική θεραπεία των ασθενών, αλλά και στην παροχή της υψηλότερης ποιότητας θεραπείας εφαρμόζοντας πρωτοποριακές, αλλά και τεκμηριωμένες θεραπευτικές τεχνικές.
Dr Αντώνης Α Θεοδωρίδης
MBBS, BSc, MRCS, MSc, CCT(UK), FRCS(Tr&Orth)
Διευθυντής Ορθοπαιδικός και Τραυματολόγος
Ειδικός στα Γόνατα και στις Αθλητικές Κακώσεις
Ειδικευθείς και Μετεκπαιδευθείς στο Ηνωμένο Βασίλειο
Imperial College, London
Μαρούσι, Αθήνα
6940869069

















