Ένα 8χρονο με βαριά επιπλεγμένη ρινοκολπίτιδα σώθηκε μετά τις υπεράνθρωπες προσπάθειες των γιατρών του ΠΑΓΝΗ, σύμφωνα με την ανάρτησή τους στο Facebook. Το παιδί μεταφέρθηκε εσπευσμένα στο νοσοκομείο και οι γιατροί έκριναν αναγκαίο να υποβληθεί σε χειρουργείο. Την ανταπόκριση του μικρού ήταν εντυπωσιακή, όπως την χαρακτήρισαν οι γιατροί και το 8χρονο αγόρι βρίσκεται πλέον στην παιδιατρική κλινική του νοσοκομείου εκτός κινδύνου.
Αναλυτικά το πλήρες κείμενο της ανάρτησης των γιατρών για την επέμβαση του 8χρονου:
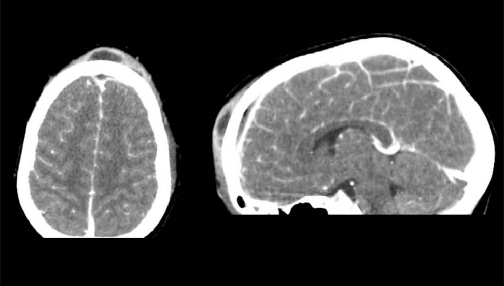
«Ένα πολύ σοβαρό περιστατικό αντιμετωπίζεται αυτές τις μέρες με επιτυχία στο νοσοκομείο μας. Παιδί 8 ετών, με βαριά επιπλεγμένη ρινοκολπίτιδα, μεταφέρθηκε εσπευσμένα στο Πανεπιστημιακό Νοσοκομείο Ηρακλείου. Ο κλινικός και απεικονιστικός έλεγχος ανέδειξαν βαριά μετωπιαία κολπίτιδα και οστεομυελίτιδα, ηθμοειδίτιδα, καθώς και συνοδό ενδοκρανιακό απόστημα. Η ζωή του παιδιού κινδύνευε σοβαρά και αποφασίστηκε χειρουργική αντιμετώπιση. Στο χειρουργείο, υπό γενική αναισθησία, παροχετεύσαμε επιτυχώς το πύο από το μετωπιαίο κόλπο και τις ηθμοειδείς, με ενδοσκοπική προσπέλαση. Ακολούθως, οι νευροχειρουργοί διενέργησαν ανοικτή κρανιοτομή και παροχέτευσαν το υποσκληρίδιο απόστημα του εγκεφάλου. Η ανταπόκριση του μικρού ασθενούς ήταν εντυπωσιακή. Μετά από σύντομη παραμονή στη ΜΕΘ Παίδων, βρίσκεται πλέον, σαφώς βελτιωμένος, στην παιδιατρική κλινική. Η συνεργασία όλων των εμπλεκόμενων ειδικοτήτων, ΩΡΛ, νευροχειρουργών, αναισθησιολόγων, παιδιάτρων και εντατικολόγων, ήταν εξαιρετική. Και η συμβολή όλων καθοριστική ώστε να διαφύγει τον κίνδυνο ο μικρός ασθενής μας».

Πηγή: neakriti.gr






















